Dental Staining

Crazy Purple Dental Teeth
Dental Staining

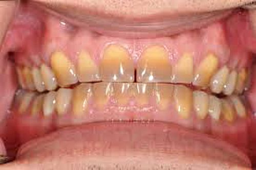
Dental staining can be a real problem in today's esthetic world. Sometimes it is extrinsic, as in coffee stains, or staining from smoking. This can be polished off.  Other times, it is intrinsic, as in tetracycline-stained teeth. When this is the case, there are only three solutions: bleaching, veneers or full crowns.

If you have dental staining, or unesthetic teeth, give us a call. We will gladly discuss the options, and give you back your beautiful, white smile!

650-965-1234

MAP

Cities We Serve

Mountain View,Los Altos,Palo Alto,Sunnyvale,Stanford,Cupertino,Santa Clara,Alviso,Menlo Park,Portola Valley,San Jose, Atherton,Saratoga,Newark,Redwood City,Campbell,Fremont,Milpitas,La Honda,Los Gatos,San Carlos,Loma Mar,Belmont,Union City,San Mateo,Boulder Creek,San Gregorio,Redwood Estates,Holy City,Sunol,Hayward,Pescadero,Half Moon Bay,Brookdale,Ben Lomond,Burlingame,San Lorenzo,New Almaden,Felton,San Leandro,Coyote,Scotts Valley,Mount Hamilton,Santa Cruz,Castro Valley,Pleasanton,El Granada,Millbrae,San Francisco,Mount Hermon,Davenport,Moss Beach,Dublin,San Bruno,Oakland,Montara,South San Francisco,Soquel,Alameda,Livermore,Pacifica,San Ramon,Brisbane,Daly City,Aptos,Capitola,Morgan Hill,Danville,Piedmont.

Zip Codes We Serve

ZIP CODES

94040, 94039, 94042, 94041, 94023, 94024, 94043, 94035, 94306, 94088, 94022, 94086, 94087, 94085, 94304, 94089, 94302, 94309, 94305, 95015, 94301, 94303, 95051, 95014, 95002, 95054, 94026, 94028, 95129, 95052, 95055, 95056, 94025, 95050, 94027, 95134, 95117, 95053, 95071, 95130, 95070, 95128, 94560, 94061, 95009 






Search Our Website