Cosmetic Dentistry
Cosmetic dentistry is all about your looks and your smile. When you come in for a consultation, we will evaluate the esthetics of your smile, as well as the health of the individual teeth and gums.
We will take study models, digital photographs and other measurements to determine the overall plan for improvement.
Then, we will show you exactly how your new smile will look after reconstruction.
Here are some examples of cosmetic dentistry.
(All cases are actual patients of Dr. Burch)

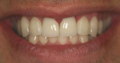
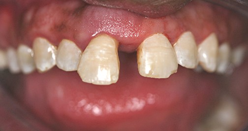
Before

After

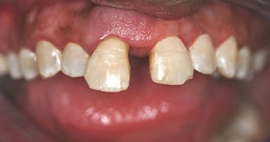
Before

The new bridge

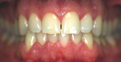
After

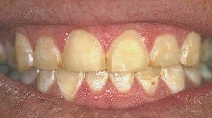
Before

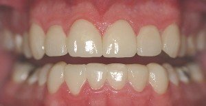
After
Note: This case was done entirely with
Cerinate Veneers.
Cosmetic dentistry Procedures
Crowns
refer to individual caps on specific teeth. These may be all porcelain, or a combination of porcelain and metal.
Generally, crowns are permanent, although patient diet, home care, and dental
maintenance can have an effect on their longevity.
Bridges
are multiple teeth connected together to form one chewing unit. They may be from three to more teeth in size. Typically, they are cemented in place and are
generally permanent.
Veneers
are laminated porcelain facings that are made in a dental lab and cemented over the front of your natural teeth. This procedure is especially attractive to people who have discolored teeth, but don't want to have their teeth prepared for conventional crowning.
Bonding
refers to facings, like the veneers above,
only using plastic resin, rather than porcelain. And, they are made right on the
spot, without a dental lab involved.
The advantage of bonding is that there is usually no anesthetic or tooth
preparation involved. The disadvantage is that, because they are resins, they do
not last as long as veneers, and they can discolor with age.
Implants
are titanium screws placed in your jawbone, usually by a periodontist, which provide a false root to place a new crown or bridge on. They replace broken or extracted teeth and are very effective in restoring natural looks and function.
Dentures
, both partial and full, are an affordable alternative to implants. The benefits are ease of production and relative less expense. The disadvantages include less chewing strength and an unnatural feel and taste.
650-965-1234
MAP
Cities We Serve
Mountain View,Los Altos,Palo Alto,Sunnyvale,Stanford,Cupertino,Santa Clara,Alviso,Menlo Park,Portola Valley,San Jose, Atherton,Saratoga,Newark,Redwood City,Campbell,Fremont,Milpitas,La Honda,Los Gatos,San Carlos,Loma Mar,Belmont,Union City,San Mateo,Boulder Creek,San Gregorio,Redwood Estates,Holy City,Sunol,Hayward,Pescadero,Half Moon Bay,Brookdale,Ben Lomond,Burlingame,San Lorenzo,New Almaden,Felton,San Leandro,Coyote,Scotts Valley,Mount Hamilton,Santa Cruz,Castro Valley,Pleasanton,El Granada,Millbrae,San Francisco,Mount Hermon,Davenport,Moss Beach,Dublin,San Bruno,Oakland,Montara,South San Francisco,Soquel,Alameda,Livermore,Pacifica,San Ramon,Brisbane,Daly City,Aptos,Capitola,Morgan Hill,Danville,Piedmont.
Zip Codes We Serve
ZIP CODES
94040, 94039, 94042, 94041, 94023, 94024, 94043, 94035, 94306, 94088, 94022, 94086, 94087, 94085, 94304, 94089, 94302, 94309, 94305, 95015, 94301, 94303, 95051, 95014, 95002, 95054, 94026, 94028, 95129, 95052, 95055, 95056, 94025, 95050, 94027, 95134, 95117, 95053, 95071, 95130, 95070, 95128, 94560, 94061, 95009