The procedure can be done in one of two different ways.
The in-office procedure uses a laser bleaching light, and can be completed in the dental office in just one hour.
The second method, called at-home bleaching, involves the fabrication of custom bleaching trays, and takes longer, but works just as well.
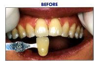
Here is an example of what teeth bleaching can do


Second bleaching example - with minor orthodontics
Please note:
Not all cases show this much change. But, as you can see, the results can be
very dramatic.
Frequently Asked Questions
How much does it cost?
The answer depends upon whether you are wanting both upper and lower to be done,
or just one arch. We charge $300 per arch, or $600 for the whole mouth.
This includes all the materials, follow up, teeth whitener products, and trays.
These fees are the same for either the in-office tooth whitening
procedure or the at-home dental bleaching technique.
Is it dangerous?
No, dental bleaching is not dangerous to
either your teeth or gums. We have performed over 2000 bleaching procedures in
our Mountain View office and we have no cases of tooth injury or damage to the
gums. The dental profession has been using tooth whitening for over ten years, and
there are also no reports of injury or risk either the teeth or gums.
What teeth whiteners do you use?
We use 16% Carbamide Peroxide as the primary teeth whitener. In cases
where there is any concern about sensitivity, we will use 11% Carbamide Peroxide
instead.
Does bleaching make your teeth
more sensitive?
Yes, occasionally your teeth will be slightly more
sensitive to certain foods or hot or cold beverages for a short period of time
after the bleaching process has begun. After completion, this sensitivity stops,
and your teeth will return to normal.
One Final Point
If you have crowns, bonding or fillings, they will
NOT change color. So, before you bleach, you will want to change them first.
Then, the tooth whitening can be done to match.
If you do NOT wish to replace these restorations, or cannot change them to a
lighter color for some other reason, then dental bleaching may not be the right
procedure for you. 650-965-1234 Teeth Bleaching Dentist

Dr. John Burch DDS
Mountain View, CA
650-965-1234

Request Form
"Excellent Service, Great Staff, Wonderful Experience." *****
"Dr. Burch is fantastic! Can't recommend him highly enough! "
“Will indefinitely go back. Felt like I was in good honest hands."
"Awesome dentist! Very knowledgeable. He was able to answer and explain many questions I had. "
"Dr. Burch was great. Would absolutely recommend to anyone looking for a local dentist! "
"Dr. John Burch is very friendly and kind. He performed the dental services super and our family all like him."
"Dr. Burch is highly professional and knowledgeable. He personally cleaned my teeth and went over the results of the X-rays. I will definitely return. "
"Dr. Burch is fantastic!"
"Excellent Service, Great Staff, Wonderful experience."
"Dr. Burch and his assistant provided a first class service. She was accommodating and enthusiastic in setting up an appointment and he was friendly, precise and brilliant."